Fibromes HIFU

Fibromes HIFU

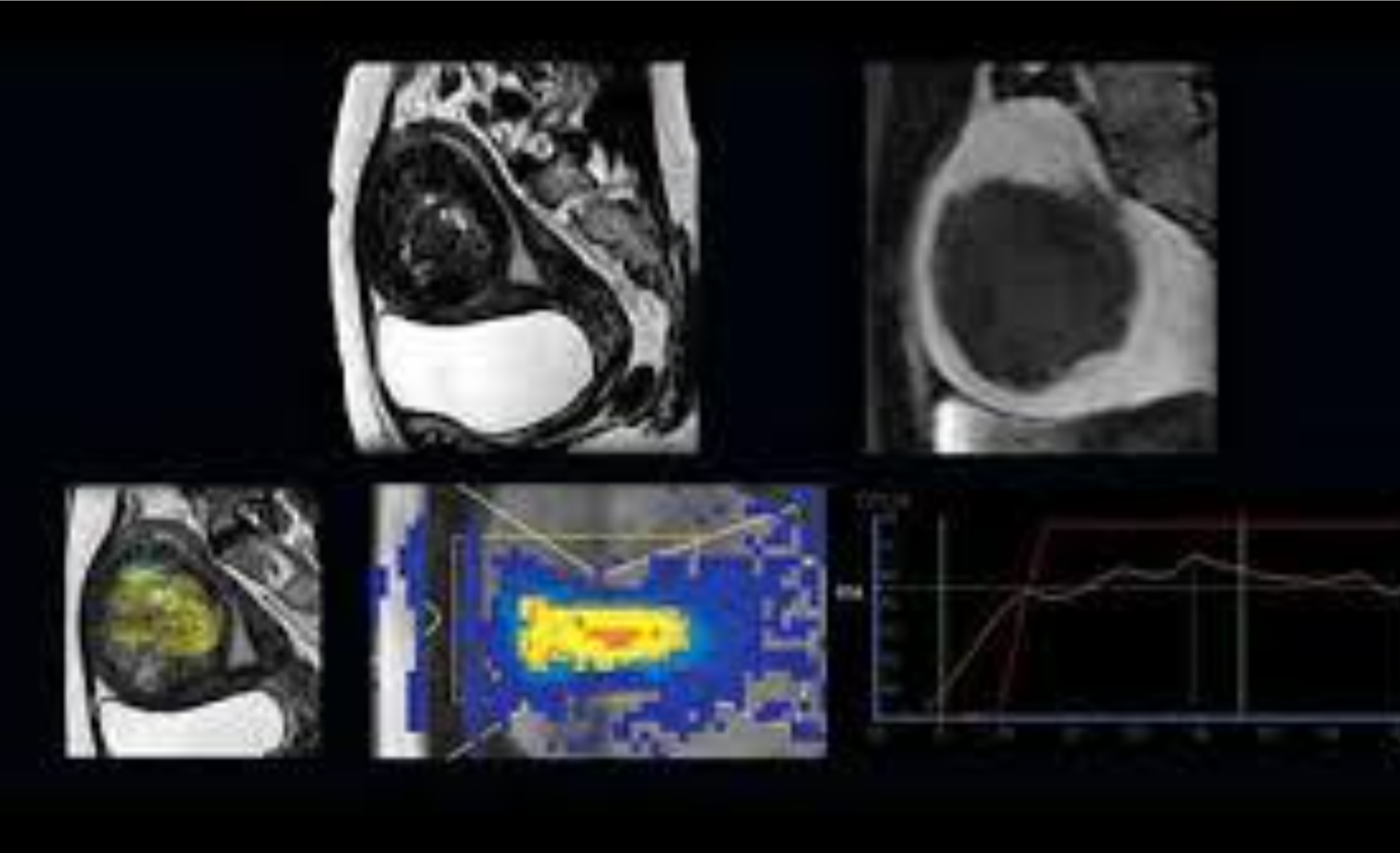
Le CHPG se dote d’un système de traitement des fibromes utérins peu invasif sous IRM L

Les fibromes utérins sont des tumeurs, toujours bénignes, qui se développent à partir de la paroi interne ou externe de l’utérus. Ces proliférations de cellules peuvent provoquer, selon leur position, leur nombre, leur taille et leur forme, divers types de symptômes plus ou moins gênants.

Le développement de fibromes est un phénomène fréquent (35 % des femmes de plus de 35 ans et près de la moitié à 50 ans), ne provoquant de symptômes que dans moins d’un tiers des cas, qu’il s’agisse d’une simple gêne ou pesanteur, de règles abondantes, longues ou de saignements chroniques, de troubles de la fertilité, ou de douleurs pelviennes.

Au total, 10 % des femmes de plus de 30 ans auront des symptômes qu’il faudra prendre en charge.

Le CHPG a fait l’acquisition, grâce au généreux don réalisé par Lady et Lord Laidlaw d’un montant de 1 070 000 euros, du module de traitement HIFU SONALLEVE, et le place de ce fait parmi les rares établissements européens à proposer ces soins.

Le système d’ablation par ultrasons SONALLEVE combine l’imagerie par résonnance magnétique en temps réel avec des ultrasons thérapeutiques délivrés par voie antérieure transcutanée (sans aucune incision) avec contrôle thermique en temps réel.

La procédure est réalisée en ambulatoire (la patiente arrivant le matin), sous sédation légère à but antalgique, et le traitement sous IRM dure en moyenne 90 minutes.

Dans l’après-midi, la patiente peut retourner à son domicile, et éventuellement reprendre une activité professionnelle dès le lendemain, d’où le gros bénéfice par rapport aux autres techniques de traitement conventionnel, qu’il s’agisse d’embolisation des artères utérines ou d’actes chirurgicaux imposant forcément des suites plus compliquées en termes d’hospitalisation, de douleurs et d’arrêt de travail.

La création de filière de prise en charge dédié possède l’avantage pour les patientes d’un parcours de soins au CHPG incluant un bilan clinique, un bilan d’imagerie puis une proposition multidisciplinaire de traitement adapté parmi les options suivantes : Traitement médicamenteux, Chirurgie conservatrice (myomectomie ou autre), Embolisation des artères utérines, Hystérectomie et Traitement par Ultra-sons Haute Fréquence focalisés (HIFU sous IRM).

Infos utiles

Nos horaires

Consultations :
8h-18h Lundi au Jeudi et 8h-16h Vendredi

Urgences et Hôpital de courte durée :
24h/24 et 7j/7

Notre adresse


Centre Hospitalier Princesse Grace
1 Avenue Pasteur
98000 MONACO

Nous contacter

Santé de la femme - CHPG
Résumé de la politique de confidentialité

Ce site utilise des cookies afin que nous puissions vous fournir la meilleure expérience utilisateur possible. Les informations sur les cookies sont stockées dans votre navigateur et remplissent des fonctions telles que vous reconnaître lorsque vous revenez sur notre site Web et aider notre équipe à comprendre les sections du site que vous trouvez les plus intéressantes et utiles.